Patient Story
A 40 year-old man presents after his blood pressure was measured as 180/100 mm Hg at a health screening. He has no complaints. His blood pressure today was 178/98 mm Hg. Based on these two readings, he is diagnosed with stage 2 hypertension. His family history is very positive for essential hypertension. His examination is normal other than an enlarged and laterally displaced point of maximal impulse. His body mass index is normal. The provider sends him for a urinalysis, complete blood count (CBC), fasting lipid profile, and a chemistry panel that includes blood glucose, potassium, serum creatinine, and calcium. An ECG shows left ventricular hypertrophy (Figure 47-1). He is counseled regarding lifestyle change, started on 2 medications, and asked to follow-up within a couple of weeks.
Introduction
Hypertension (HTN) is a major risk factor for both myocardial infarction and stroke. Primary HTN constitutes 90% of HTN cases. Initial treatment includes lifestyle modifications and medications. Most patients require at least 2 medications to achieve control. Patients who are not controlled on 3 medications should undergo a work-up for secondary causes.
Epidemiology
- Of U.S. adults older than age 18 years, 29% have HTN.1
- Blood pressure is controlled in approximately 50% of adults with HTN.1
- Blood pressure control is lowest among those without health insurance (29%), Mexican Americans (37%), and adults ages 18 to 39 years (31%).1,2
- In the United States, HTN contributes to 1 of every 7 deaths and to half of the cardiovascular disease-related deaths.2
- Cost of HTN to the U.S. healthcare system is estimated to be $93.5 billion per year.2
Etiology and Pathophysiology
- Primary HTN (>90% of patients)—The specific cause is unknown, but environmental factors (i.e., salt intake, excess alcohol intake, obesity) and genetics both play a role.
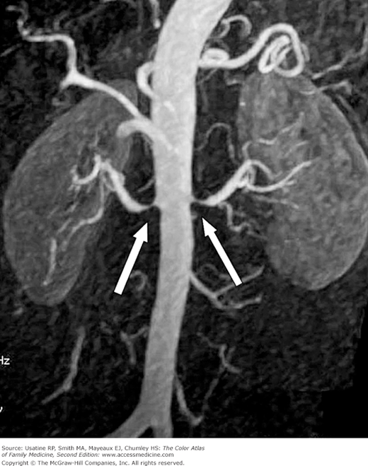
- Secondary HTN (5% to 10% of patients)—Causes include medications, kidney disease, renal artery stenosis (Figure 47-2), thyroid disease, hyperaldosteronism, and sleep apnea. Rare causes include coarctation of the aorta, Cushing syndrome and pheochromocytoma.

