High magnification of lymphoepithelioma-like carcinoma of the skin (LELCS) shows a prominent lymphohistiocytic infiltrate obscuring a background of large, undifferentiated epithelioid-appearing cells .

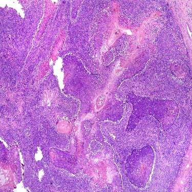
This is an example of LELCS at low magnification showing large, irregular epithelial islands surrounded by a very dense inflammatory infiltrate.

LELCS at high magnification shows islands of atypical basaloid-appearing epithelial cells


Immunohistochemical stain for p63 shows diffuse nuclear staining

CLINICAL ISSUES
Epidemiology
Treatment
• Surgical approaches


Stay updated, free articles. Join our Telegram channel

Full access? Get Clinical Tree


