|
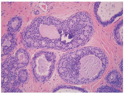
![]() Figure 2.1.3 Secondary spaces are fenestrated and not sharply defined in florid hyperplasia without atypia. |
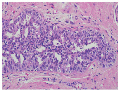
![]() Figure 2.1.4 The irregular secondary spaces are a manifestation of uneven cell placement; note nuclear variability and overlap in this example of florid hyperplasia without atypia. |
|
Stay updated, free articles. Join our Telegram channel
Full access? Get Clinical Tree








